Микробиологи Томского государственного университета с коллегами из ФИЦ «Биотехнологии» РАН опубликовали статью с детальным описанием бактерии Desulforudis audaxviator (в переводе с латыни – «смелый путешественник»), которая ранее была найдена в глубоких недрах Земли и «прославилась» тем, что способна жить в условиях, близких к марсианским. Учёные не только подробно изучили «марсианскую» бактерию, но и обнаружили в подземных водах Западной Сибири её «родственника». Новый род получил название Desulfosceptrum tomskiensis в честь Томской области, где был найден. Статья вышла в свежем номере журнала Environmental Microbiology (Q1). Исследования проведены при поддержке Российского научного фонда.
– В микробиологии объект, который обнаружен, но не прошел полную стадию культивирования (воспроизведения) в лаборатории и детально не описан, имеет статус Candidatus, то есть кандидат, – объясняет одна из авторов статьи, заведующая кафедрой физиологии растений, биотехнологий и биоинформатики Биологического института ТГУ Ольга Карначук. – Теперь «смелый путешественник» легализован, то есть ему присвоено официальное имя Desulforudis audaxviator.

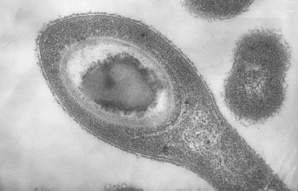
Desulforudis audaxviator («смелый путешественник»)
Фото: БИ ТГУ
Название предложили американские учёные, которые обнаружили ДНК этого микроорганизма на большой глубине в шахтных водах золоторудного месторождения в Южной Африке. Десять лет исследователи всего мира «охотились» за бактерией, которая может жить и получать энергию при полном отсутствии света и кислорода – за счет радиоактивного распада в недрах Земли, но «поймать» её удалось учёным ТГУ.
Удивительную бактерию они нашли в подземных водах термального источника, расположенного в Верхнекетском районе Томской области. Однако даже не приспособленность Desulforudis audaxviator к глубинным условиям оказалась самым удивительным фактом. Исследователи сделали полное секвенирование генома бактерии, сравнили его с геномом бактерии из Южной Африки и поняли, что они абсолютно идентичны.
– Это говорит о том, что Desulforudis audaxviator в прямом смысле слова «застыл» во времени, – отмечает Ольга Карначук. – Геном «смелого путешественника» не менялся со времен Пангеи – суперконтинента, существовавшего около 335–175 миллионов лет назад. Это противоречит нашим представлениям о Дарвиновской эволюции, предполагающей, что в организмах накапливаются изменения, которые позволяют им лучше приспособиться к условиям окружающей среды.
Ещё одним открытием учёных ТГУ стал новый род и семейство бактерий – «родственников» Desulforudis audaxviator. Найти их удалось в подземных скважинах в Западной Сибири: в артезианской воде в Белом Яре (Томская область), возле Новокузнецка в угольных пластах в зоне добычи метана (Кемеровская область) и в глубинных водах в Тюменской области. По геному эти обитатели близки к «смелому путешественнику», но не настолько, чтобы причислить их к одному виду, роду или даже семейству.
Новый род был назван Desulfosceptrum tomskiensis, а новое семейство бактерий – Desulfosceptrumaceae. В первой части названия содержится отсылка к форме клеток бактерий, образующих споры. Они напоминают скипетр (лат. sceptrum). Вторая часть названия – tomskiensis – содержит отсылку к территории Томской области, в которой, во-первых, был обнаружен новый род, во-вторых, потому что регион, благодаря микробиологам ТГУ, хорошо известен в мире как центр изучения подземной биосферы.

Desulfosceptrum tomskiensis - новый род, открытый микробиологами ТГУ
Фото: БИ ТГУ
– Наши коллеги из ФИЦ «Биотехнологии» РАН секвенировали геномы бактерий, найденных нами в подземных скважинах, и обнаружили, что Desulfosceptrum tomskiensis тоже довольно постоянен, но не настолько, как знаменитый «путешественник». Пусть малые, но изменения в ДНК всё же есть, – говорит Ольга Карначук. – Коллеги выдвинули гипотезу, что причина может заключаться в следующем: в отличие от Desulforudis audaxviator, находящегося очень глубоко под землей, его сибирские «родственники» живут на меньшей глубине. Там, куда проникает ионизирующее излучение, которое вызывает мутации.
Наряду с этим есть основание предполагать, что «смелый путешественник» до того, как стать подземным обитателем, жил на поверхности Земли. На это указывает наличие газовых вакуолей – воздушных пузырьков, которые дают возможность плавать на поверхности. Вакуоли, например, есть у цианобактерий, которые плавают в водоемах. Скорее всего, Desulforudis audaxviator попал под землю с дождевой водой, и глубинные условия оказались для него гораздо более подходящими, нежели поверхность Земли. Не исключено, что когда-то «смелый путешественник» передвигался по воздуху и распространился на планете именно благодаря вакуолям.
Авторы статьи отмечают необходимость дальнейшего исследования Desulforudis. Это важно как для получения новых фундаментальных знаний и понимания особенностей эволюции живых организмов, так и с практической точки зрения – эти бактерии могут найти своё промышленное применение. Более того, изучение таких микроорганизмов может дать новую информацию о живых клетках в космосе, ведь если на других планетах есть жизнь, то с высокой долей вероятности принципы её устройства могут быть, как у этих бактерий.
Исследования проведены в рамках проекта «Культивирование, характеристика физиологии и геохимической активности трудно культивируемых экстремофильных Bacteria» при поддержке РНФ (№ 24-14-00396).

1/3
Фото: пресс-служба ТГУ и БИ ТГУ

